Les chirurgies avancées
Avant de poser un implant, il est parfois nécessaire de préparer la mâchoire pour garantir sa stabilité et sa longévité. Les chirurgies pré-implantaires ont pour objectif de recréer un volume osseux ou gingival suffisant, afin d’assurer une base solide, fonctionnelle et esthétique à la future dent implantée
Chirurgies pré-implantaires
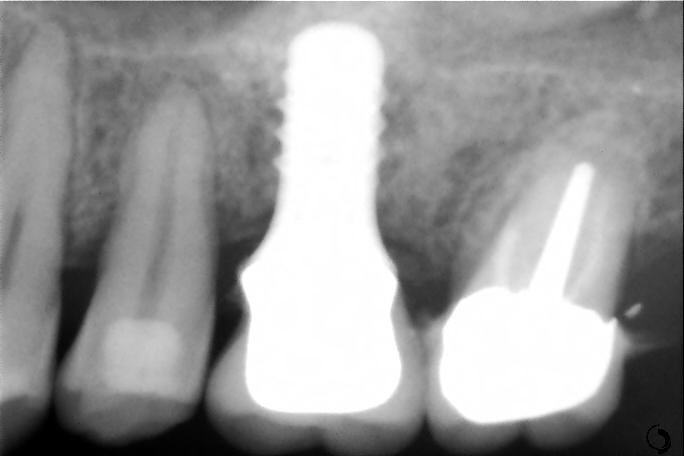
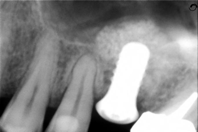
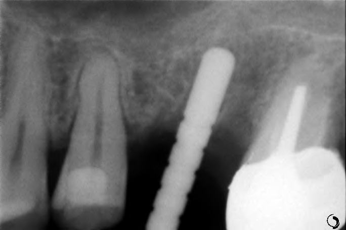
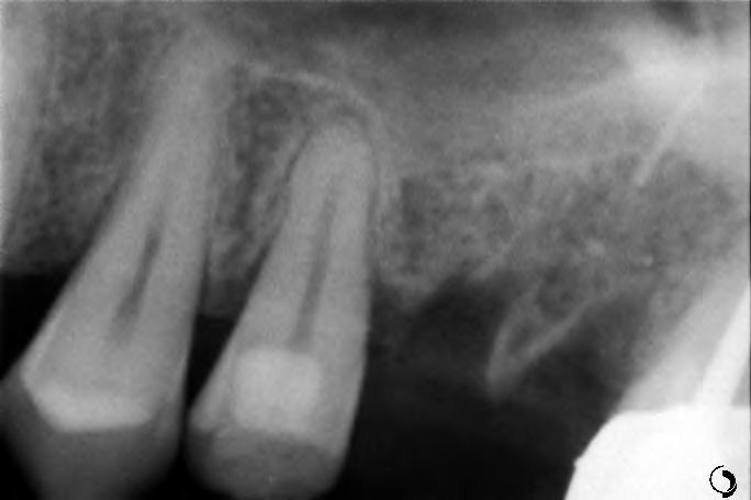
Greffe osseuse: Dans certains cas, la quantité d’os disponible dans la mâchoire n’est pas suffisante pour poser un implant de manière stable et durable. Pour recréer un volume adapté, différentes chirurgies pré-implantaires peuvent être proposées :
La greffe d’apposition (horizontale ou verticale) : cette technique consiste à ajouter de l’os pour élargir ou rehausser la mâchoire. Elle permet d’obtenir une base osseuse solide et adaptée à la pose de l’implant.
Le sinus lift (accès par voie latérale) : lorsqu’il manque de l’os en arrière du maxillaire supérieur, on accède au sinus par une paroi latérale et on le comble avec nos matériaux. Cela augmente la hauteur osseuse disponible.
Le push-back (apport par voie crestale) : cette méthode permet d’apporter de l’os par le trou de forage lors de la pose de l’implant.
Greffes de tissus mous: il s’agit d’épaissir ou d’augmenter la gencive autour de la future zone implantaire. L’objectif peut être esthétique (améliorer l’apparence “gingivale”), améliorer la santé des tissus mous, protéger l’implant, et assurer une barrière biologique efficace.
Matériaux utilisés pour les greffes osseuses
- Greffon autogène : os prélevé directement chez le patient (généralement au niveau de la mâchoire). C’est la référence en termes de compatibilité.
- Greffon allogénique : os provenant de donneurs humains, traité et stérilisé pour une sécurité optimale.
- Xénogreffe : os d’origine animale (souvent bovine), transformé et purifié pour être parfaitement toléré.
- Substituts synthétiques : matériaux fabriqués en laboratoire (phosphates de calcium, bio-verres…), biocompatibles et résorbables
